のりもの@ふたば
[ホーム]

[掲示板に戻る]
レス送信モード
E-mail
コメント
添付File []
削除キー(記事の削除用。英数字で8文字以内)

画像ファイル名:1771466593208.jpg-(148257 B)
148257 B26/02/19(木)11:03:13 IP:114.187.*(plala.or.jp)No.2325012+ 3月18日頃消えます
【やっちまった→死】
八街市は"やちまたし"と読む
126/02/19(木)11:04:45 IP:114.187.*(plala.or.jp)No.2325013+
    1771466685064.png-(472903 B)
472903 B
2022年4月16日0時の月齢は14.9…つまり、この日は"満月"だった
中年カーマニアやってるような頭の悪いオッサンは月の影響を受けやすいってことだねw
226/02/19(木)11:07:00 IP:219.63.*(bbtec.net)No.2325014+
この事件、すごく不可解なんだけど
煽り運転が発覚しての逮捕を恐れての自殺ってことなの?
326/02/19(木)11:27:27 IP:123.225.*(ocn.ne.jp)No.2325016+
事件関係ないけど
学生の頃八街から通ってた友達のクレスタに同乗して筑波ゼロヨンを見に行った時に全損事故をやらかされた
全員無傷だったけどレッカー業者がそいつん家まで送ってくれて
帰りに親御さんに45Lゴミ袋いっぱいの落花生をもらってそれを持って東京まで電車で帰った
426/02/19(木)11:40:32 IP:114.187.*(plala.or.jp)No.2325018+
    1771468832296.jpg-(18535 B)
18535 B
>No.2325014
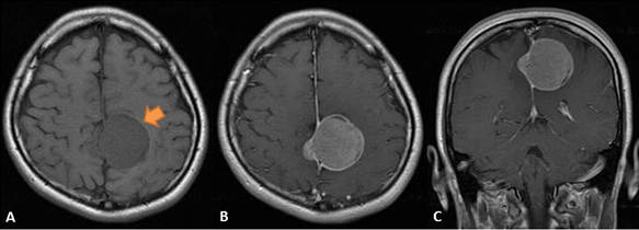
一つの可能性としては"脳腫瘍"だね
著しい人格変化を来たし、抑制が効かなくなると大変なことになる
上司でそういう例を経験して苦労してるからわかる
何故か満月の日になるとパワハラを繰り返す…文字通りの"既知害"だった

"脳腫瘍"に絶望+八街の後悔→自死の可能性もある

多くは取り切れるタイプ(写真参照)だから死ぬ必要はないけど
526/02/19(木)11:54:19 IP:114.187.*(plala.or.jp)No.2325020+
    1771469659449.png-(484664 B)
484664 B
自殺したとされる日付は2022年6月25日
満月同様に衝動性を高めるとされる新月に近い日付
626/02/19(木)17:09:52 IP:114.187.*(plala.or.jp)No.2325028+
>No.2325013
>2022年4月16日0時の月齢は14.9…

openmobileの彼を思い出した
宮城県だったっけ?

- GazouBBS + futaba-